
名古屋・栄エリアで、安心して受けられる
インプラント治療を。
先進の設備、丁寧な対応と確かな技術で、
あなたの人生に向き合います。



evidence
名古屋グランパスと連携し、
噛める喜びとその先の
ヘルスケアを支えるために
ナオキ歯科 名古屋栄クリニックが名古屋グランパスオーラルケアクリニックとして取り組みを行う背景には、お口の健康を通じて、名古屋の皆さまの健やかな毎日を支えていきたいという想いがあります。私たちは歯科医療を、単に歯を治すためのものではなく、全身の健康や人生の質にもつながるヘルスケアの一つとして捉えています。
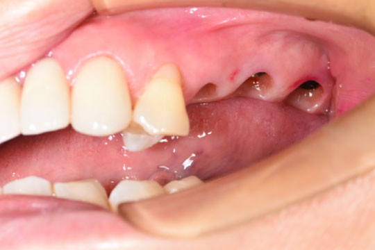
インプラント治療は、失った歯を補うだけでなく、しっかり噛める状態を取り戻し、食事を楽しむことや会話を快適に行うこと、そして年齢を重ねても自分らしく過ごすことにつながる治療です。特に、これからの人生をより豊かに過ごしたいと考える方にとって、噛めることは健康寿命や日々の活力を支える大切な要素だと考えています。
また、名古屋グランパスとの連携には、名古屋の街を愛し応援し、この地域で暮らし、働き、歳を重ねていく方々の健康と活力を支えていきたいという想いも込めています。名古屋・栄で、インプラント治療からその後のメインテナンスまで長く寄り添い、噛める喜びとその先のヘルスケアを支えていくこと。それも、名古屋・栄のインプラント専門外来として私たちが大切にしている役割の一つです。




インプラント手術に対して「怖い」「痛みが心配」と感じる方は少なくありません。そこでナオキ歯科 名古屋栄クリニックでは、こうした心理的な負担を軽くし、リラックスした状態で手術を受けていただけるよう、必要に応じて静脈内鎮静法を導入しています。
静脈内鎮静法とは、鎮静薬を点滴で静脈に投与し、うたた寝をしているような穏やかな状態をつくる方法です。全身麻酔のように完全に意識がなくなるわけではなく、呼びかけには応じられるため、安全性が高いのが特徴です。手術中の記憶や痛みの感覚はほとんど残らず、緊張や恐怖心を和らげた状態で治療を受けられます。さらに、施術中は心拍数や血圧、酸素飽和度を常時モニタリングし、全身管理の面でも細心の注意を払っています。


インプラント治療は、精密な診断や専用設備だけでなく、高度な技術力と豊富な経験を兼ね備えた歯科医師による施術が欠かせません。
わずかな埋入位置の違いが、治療の持続性や審美性、噛み合わせに大きな影響を与えるため、歯科医療の中でも特に難易度が高い治療とされています。
ナオキ歯科 名古屋栄クリニックでは、インプラント治療に精通した3人のスペシャリストによる「プロフェッショナル×プロフェッショナル」のチーム体制で、複雑かつ高度なインプラント治療に対応しています。
specialist
インプラントを専門に行う
スペシャリストによる
精密なインプラント治療

埋入本数 3,900本
静脈内鎮静法 4,200件




インプラント手術をより安全に確実に行うためには、事前の検査・シミュレーションをどれだけ徹底して行うかが大きなポイントとなります。
しかし従来では、術前検査を行っても実際の手術で適切な位置にインプラントを埋入することが出来ず、その上に装着する上部構造にも歪みが生じてしまい、折角のインプラントが長持ちしないという問題が起こることもありました。 しかし当院が導入しているSIMPLANT®システムでは、CTで歯や顎の骨の状態を正確に把握することに加え、CTで撮影した画像を元に立体的に埋入位置などを設計することができます。
さらに、そのシミュレーション通りにインプラント埋入時の位置、角度、埋入深度を正しくアシストするサージカルガイドを用いることで、審美性にも優れた安心・安全なインプラント治療を可能にします。


merit / 01下顎の神経や血管を傷つける心配がない
まれに、下顎のインプラント手術時に神経や血管を傷つけてしまうことで「しびれ」や「神経麻痺」が現れることがあるそうです。
これは、CT撮影が不可欠にも関わらず通常のレントゲン撮影のみで手術を行ったり、CTによるシミュレーションを行っても骨質の影響や視覚の誤差が出てしまうことが原因です。しかし、サージカルガイドは下顎の骨の中を通っている神経を確実に回避し、歯と歯の間のスペースが狭い方にも安心してインプラント埋入できる、優れた手術補助装置です。

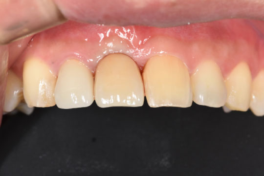
merit / 02審美性・耐久性に
優れた仕上がり
従来のインプラント治療では、インプラントを埋入してから上部構造の形を決めていきますが、万が一ずれた位置に埋入されると、その上に装着する人工歯も歪んだ形になるリスクがありました。
サージカルガイドによる治療では、上部構造を模型製作してコンピューターで調整、それを正確に再現できるように設計した上で、インプラント埋入手術を行います。歯の形からインプラント埋入位置の設計を行うことで、より美しく耐久性にも優れた仕上がりとなります。


ナオキ歯科 名古屋栄クリニックでは、スイスの精密技術と優れた臨床研究をルーツとし、世界70カ国以上で展開されるほどの高い信頼性を誇る、ストローマンという会社のインプラントシステムを使用しています。
生体力学的安定性と耐久性を考慮した設計になっているだけでなく、生体適合性の高いグレード4の純チタン製という、安全面にも優れたインプラントなのです。
後述するITIとの30年以上にわたるパートナーシップは、患者さまにとっての適切な治療を開発すべく、日々、多くの技術と治療の進歩をリードしています。


インプラント治療は、埋入後の安定性や長期間の使用を前提とした治療です。しかし、日常生活での噛み合わせの変化や、予期せぬ外的な力、さらには全身状態の変化などによって、まれに不具合が生じることがあります。
そこでナオキ歯科 名古屋栄クリニックでは、治療後も安心してお使いいただけるよう10年間の保証制度を設けています。
この保証制度では、インプラント本体や上部構造(人工歯)の破損・脱落といったトラブルに対して、一定の条件を満たした場合には無償で修理または再治療を行います。条件としては、定期的なメンテナンスや口腔衛生管理の継続が必要ですが、これはインプラントを長持ちさせるためにも欠かせない取り組みです。

インプラント治療は外科処置を伴うため、他の歯科治療と比べると感染のリスクは高くなります。
だからこそ当院では、院内感染を防止するために通常の歯科治療のスペースとは分離させた個室の清潔なオペ室を完備しています。
また、手術で使用した器具はすべて適切な滅菌工程にかけ、汚染区域と既滅菌区域を明確にするゾーニングを徹底するなど、高いレベルでの衛生管理を実施しています。

様々な疑問に歯科医師がお答えします!
インプラント無料相談
consultation service
フリー
ダイヤル



そんな理由で、
歯を失ったままにしていませんか?
実はその1本の欠損が、噛み合わせや見た目だけでなく、
身体の健康や心の状態、将来の治療選択肢にまで大きな影響を与えることがあります。
放置によるリスクを知ることは、あなた自身の未来を守る第一歩です。






implant





一方でインプラントは、
周囲の歯を削る必要がなく、
自分の歯を守りながら機能回復できる点が最大のメリットです。

インプラントが選ばれている理由は、
その総合的な優位性にあります。

Form & Function

見た目の自然さに加え、噛む力や安定性、そして耐久性にも優れており、その内部には先進の歯科医療技術が詰まっています。
インプラントは単なる人工歯ではありません。歯の根から再建することで、歯本来の働きを回復できる治療法です。その仕組みを知ることで、不安を安心に変え、納得したうえでインプラント治療に進むことができるでしょう。
インプラント体(人工歯根)には、主にチタンまたはチタン合金が用いられています。
これは以下のような優れた性質があるためです。


このような構造によって、
インプラント治療が
可能になります。
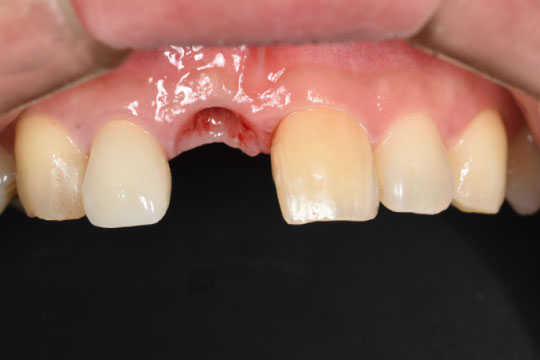
「大掛かりな治療」というイメージを持たれがちなインプラントですが、実際には1本だけの欠損にも対応できます。
ブリッジのように隣の歯を削る必要もなく、インプラント単独でしっかりと機能するのが魅力です。さらに、インプラントには太さや長さ、表面の形状など多様な種類があり、口腔内の状態に応じたカスタマイズが可能です。ナオキ歯科では、CT撮影や3Dシミュレーションを活用し、骨の量・密度・形状を的確に診断したうえで、精密な治療設計を行います。

Implant Choice






これらの技術により、「インプラントは無理」と言われた症例でも、
可能性をあきらめる必要はありません。

入れ歯が合わずに
痛みが出る
ブリッジの
支えの歯が
弱くなってきた
自然な見た目に
満足できない
毎日の
取り外しや
お手入れが面倒
FLOW
インプラントを検討される際、「どんな流れで治療が進むのか」「どのくらい時間がかかるのか」といった不安を抱かれる方は少なくありません。ナオキ歯科では、初診から治療後のメンテナンスまでをすべて院内で一貫して行い、各ステップで患者さまにしっかりと寄り添ったサポートを提供しています。
ここでは、ナオキ歯科 名古屋栄クリニックで行っているインプラント治療の基本的な流れを、8つのステップに分けてご紹介いたします。


安全で確実な治療を行うために、以下のような詳細な検査を実施します。
これらの結果をもとに、科学的根拠に基づいた治療計画を立案します。






インプラントを長く安心して使用するには、定期的なメンテナンスが欠かせません。担当歯科衛生士が、3〜6ヶ月ごとの定期検診にて以下の項目をチェック・ケアいたします。
Fear Relief
「インプラントに興味はあるけれど、手術が痛そうで不安…」「治療に何ヶ月もかかるなら、仕事や生活に影響が出そう…」
こうした“痛み”や“手術”、“治療期間”に対する不安は、多くの方が感じていることです。
ナオキ歯科 名古屋栄クリニックでは、患者さまの心配をしっかり受け止め、負担の少ない手術と無理のない治療スケジュールで進めていきます。以下で、よくあるご質問に丁寧にお答えしていきます。
局所麻酔の他、
静脈内鎮静法(セデーション)を
併用できます
インプラントは、顎の骨に人工歯根を埋め込む外科処置です。
手術と聞くと「強い痛みが伴うのでは」と心配されるかもしれませんが、処置は局所麻酔をしっかり効かせたうえで行うため、手術中に強い痛みを感じることはほとんどありません。
また、緊張や恐怖心の強い方には、静脈内鎮静法(セデーション)の併用も可能です。点滴から鎮静剤を投与することで、まるでうたた寝しているかのようなリラックスした状態で治療を受けることができ、多くの患者さまから「気づいたら終わっていた」と好評です。
施術中は血圧・心拍・酸素濃度をモニタリングし、安全を確保した環境で手術を行います。
術後、翌日から通常通り
お過ごしいただけます
術後は一時的に軽い腫れや違和感が出る場合がありますが、これは抜歯後のような感覚に近く、多くの方が市販の鎮痛薬または当院処方の薬で十分に対処できています。
腫れのピークは通常48時間前後で、1週間ほどで自然に治まります。まれに頬に青あざのような内出血が出ることもありますが、数日〜2週間ほどで自然に吸収され、跡が残ることはありません。
また、手術内容によっては腫れがやや強く出る場合もあるため、その際は事前に対処方法やスケジュール調整をご案内いたします。
術後、翌日から通常通り
お過ごしいただけます
軽い処置であれば、多くの方が翌日から通常の生活に戻ることが可能です。デスクワークや軽作業であれば、手術翌日からの仕事復帰も無理なく行えます。ただし、以下のような行動は一時的に控えていただく必要があります。
個人差はありますが、
およそ3〜6ヶ月程度です
治療期間は、顎の骨の状態や治療の規模によって異なりますが、平均して3〜6ヶ月程度です。大まかな流れは次のようになります。
Bone Augmentation

ナオキ歯科 名古屋栄クリニックでは、
骨造成(こつぞうせい)や
サイナスリフトなどの高度な再生療法を取り入れ、
「骨が少ない=治療不可」とは限らない時代の治療を
提供しています。


ナオキ歯科 名古屋栄クリニックでは、インプラントの適応が難しいとされた方にも治療の選択肢を提供できるよう、
以下のような骨再生療法を導入しています。




骨造成や再生処置を伴うインプラント治療には、高度な技術力と設備、そして十分な経験が不可欠です。
ナオキ歯科 名古屋栄クリニックでは、患者さまの体への負担を最小限に抑えるため、低侵襲かつ安全性を重視した治療法を選択しています。 また、術前の診査・診断を徹底し、予後まで見据えた治療方針をご提案します。

PRICE
インプラント治療を検討する際、気になるのはやはり「費用」のこと。
「どのくらい費用がかかるの?」「保険は使える?」「医療費控除って実際どうなの?」といった疑問を持つ方も少なくありません。
ナオキ歯科 名古屋栄クリニックでは、単に価格だけでなく、治療の質や将来的な安心感も含めた“費用対効果”をご納得いただけるよう心がけています。ここでは、治療費の仕組みやお支払いの選択肢、税制上の優遇制度について詳しくご紹介します。
インプラント治療は健康保険の対象外で、「自由診療(自費診療)」となります。
そのため費用は全額自己負担ですが、症例によって費用は大きく異なります。
ナオキ歯科 名古屋栄クリニックでは以下のような構成でお見積もりを提示しております。

高額な医療費を支払った場合、「医療費控除」を活用することで、
所得税や住民税の還付・軽減が受けられる可能性があります。
例:年間40万円の治療費を支払った場合、数万円〜十数万円程度の還付が受けられることもあります。
ナオキ歯科 名古屋栄クリニックでは、申告に必要な領収書の発行や明細整理のサポートも行っております。ご不明点はお気軽にご相談ください。
「治療はしたいけれど、まとまった費用を一括で支払うのは難しい…」という方には、
デンタルローンや分割払いもご用意しています。
治療を先延ばしにせず、将来の健康と生活の質の向上のために、
今できる選択をご提案いたします。
インプラントは一度治療を行えば、10年・20年と長期にわたって機能を維持できる治療法です。入れ歯やブリッジと比較して初期費用は高くなりがちですが、再治療のリスクや修理の頻度が少ないため、結果的に経済的と感じられる患者さまも多くいらっしゃいます。
見た目の自然さや、しっかり噛める機能性、会話のしやすさなど、日常生活の快適さにも直結する治療です。
「費用が心配で治療を迷っている」 そのような声に対して、ナオキ歯科 名古屋栄クリニックでは一人ひとりのライフスタイルに合わせたプランを一緒に考え、ご提案しています。
「見積もりだけでも確認したい」「医療費控除について詳しく知りたい」
そんなご相談も歓迎しています。費用面でも安心してスタートできる環境を整えておりますので、まずはお気軽にお問い合わせください。
価格は全て税込です
|
インプラント1本につき |
440,000円 |
|---|
|
骨造成を含む補助的な手術 |
55,000円〜110,000円 |
|---|
インプラントは、見た目の自然さや噛み心地の快適さから
「まるで自分の歯のよう」と感じられる方が多く、日常生活の質を大きく高める治療法です。
ただし、インプラントは一度入れたら終わりではありません。
快適な状態を長く維持するためには、ご自身による日々のケアと、
歯科医院での定期的なメンテナンスが欠かせません。
ナオキ歯科 名古屋栄クリニックでは、治療後のサポート体制を重視し、
長期的な視点でインプラントの健康を守る診療を行っています。




ナオキ歯科 名古屋栄クリニックでは、インプラント治療後の患者さま一人ひとりに、オーダーメイドのメンテナンススケジュールをご案内しています。さらに、担当の歯科衛生士による継続的なサポートを行い、生活習慣やお口の変化にも寄り添ったきめ細やかなケアを提供しています。
私たちは、「インプラントの寿命は、患者さまと歯科医院の二人三脚で決まる」と考え、治療後も末永く伴走するパートナーであり続けたいと願っています。

噛めるよう
にしたい
失敗
したくない
長く
もたせたい
インプラント治療は、決して気軽に選べるものではありません。
費用も時間もかかるからこそ、「きちんと噛めるようになりたい」「失敗したくない」「できるだけ長くもたせたい」といった思いが強くなるものです。
そのためには、どの歯科医院で治療を受けるかの選択が非常に重要です。
しかし実際には、医院によって治療の技術や設備、対応体制に大きな差があるのも事実。
ここでは、インプラントで後悔しないために
大切な“4つの視点”をもとに、
医院選びのポイントをご紹介します。

経験と症例数
インプラントは、歯科治療の中でもとくに医師の経験と技術が問われる分野です。顎の骨の量が少ない場合や、複数本に及ぶケースでは、適切な診断力と処置の精度が治療結果を左右します。
ナオキ歯科 名古屋栄クリニックでは、臨床経験豊富な医師が治療を担当し、必要に応じて口腔外科医や矯正専門医と連携して患者さまごとに適切な治療プランを提案しています。

診断と設備
インプラント治療では、顎の骨の状態や神経・血管の位置を正確に把握することが不可欠です。そのためには、歯科用CTや口腔内スキャナーといった高度な機器が求められます。また、外科手術を伴うため、院内の清潔さや感染対策への取り組みも重要な判断材料となります。
ナオキ歯科 名古屋栄クリニックでは、CT・マイクロスコープ・iTeroなど先進のデジタル設備を導入し、診査・設計・補綴までを一貫して高精度にサポートしています。

コミュニケーションと説明力
「何をされるのか分からない」「費用が不明瞭」では、患者さまが不安になるのは当然です。技術だけでなく、丁寧で誠実な説明があるかどうかも、安心できる医院選びの大切な要素です。
ナオキ歯科 名古屋栄クリニックでは、初診カウンセリングで模型や画像を使った視覚的な説明を行い、不安や疑問が残らないよう丁寧にサポートしています。

メンテナンス体制
インプラントの寿命は、治療後のメンテナンスに大きく左右されると言われています。だからこそ、治療後も口腔内をしっかりと見守ってくれる体制が整っていることが大切です。
ナオキ歯科 名古屋栄クリニックでは、術後のメンテナンススケジュールを個別にご案内し、担当制によるケアで再発防止と長期安定に取り組んでいます。




Q&A
インプラントは誰でも受けられますか?
インプラント治療は、原則として顎の骨がしっかりしていれば多くの方に適応できます。ただし、全身疾患(糖尿病や心疾患など)のある方や、重度の歯周病がある場合は、慎重な判断が必要です。ナオキ歯科 名古屋栄クリニックでは、歯科用CTや血液検査の結果をもとに、患者さまごとのリスクを丁寧に確認し、安全に治療が行えるかを慎重に判断しています。まずはカウンセリングで現在のお口の状態を確認させてください。
インプラントの治療期間はどれくらいかかりますか?
一般的には、手術から人工歯が入るまでに3〜6ヶ月ほどかかります。ただし、骨造成が必要なケースや即時荷重(抜歯と同時にインプラントを入れる方法)を行う場合など、症例によって期間は異なります。ナオキ歯科ではCT診断や精密なシミュレーションをもとに、治療計画の段階で目安の期間をわかりやすくご案内し、途中経過も都度ご説明しております。
インプラント治療は痛いですか?
手術は局所麻酔下で行うため、処置中に痛みを感じることはほとんどありません。術後は一時的に腫れや違和感が出ることもありますが、痛み止めの内服でコントロール可能です。ナオキ歯科 名古屋栄クリニックでは、手術中のストレスや不安を最小限にするために、麻酔の技術にもこだわっています。不安な方には、事前に痛みやダウンタイムについても詳しくご説明しております。
治療費が高額だと聞きましたが、どのくらいかかりますか?
インプラントは保険適用外の自由診療で、1本あたりの総額は約35〜50万円が目安です(症例により異なります)。費用には手術費、人工歯、CT診断、必要に応じた骨造成などが含まれます。ナオキ歯科 名古屋栄クリニックでは、初診時に治療計画に基づいた明確なお見積りを提示し、後から追加費用が発生することのないよう丁寧にご説明しています。デンタルローンにも対応していますので、分割払いも可能です。
インプラントの寿命はどれくらいですか?
適切なセルフケアと定期的なメンテナンスを行えば、10〜20年以上使い続けることも十分可能です。逆に、メンテナンスを怠ると数年でトラブルが起きることもあります。ナオキ歯科 名古屋栄クリニックでは、インプラント専用のメンテナンスプログラムを提供し、担当衛生士が長期的にサポート。治療後もずっと患者さまに寄り添い、快適な口腔環境を維持できるよう努めています。
骨が少ないと言われたのですが、治療はできますか?
顎の骨が足りない場合でも、骨造成(GBR)やサイナスリフトといった補助手術を行うことで、インプラント治療が可能になるケースも多くあります。ナオキ歯科 名古屋栄クリニックでは、歯科用CTで骨の状態を立体的に把握し、患者さまにとって適切な治療計画をご提案しています。他院で「できない」と言われた方も、まずは一度ご相談ください。可能性を丁寧に探っていきます。
メンテナンスはどのくらいの頻度で通う必要がありますか?
基本的には3〜6ヶ月に1回の定期メンテナンスをおすすめしています。インプラントは虫歯にはなりませんが、周囲の歯ぐきが炎症を起こす「インプラント周囲炎」は放置すると脱落のリスクもあります。ナオキ歯科では、衛生士による担当制で、日々のセルフケアのチェックや清掃、噛み合わせの確認などを行い、トラブルを未然に防ぐ体制を整えています。
インプラント治療中でも仕事や日常生活は続けられますか?
ほとんどの方が、手術の翌日から普段どおりの生活に戻られています。デスクワークや軽作業であれば、当日から復帰される方もいらっしゃいます。ただし、激しい運動や飲酒などは数日控える必要があります。ナオキ歯科 名古屋栄クリニックでは、患者さまのライフスタイルに配慮しながら、治療スケジュールを柔軟にご提案していますので、お仕事やご家庭の事情もお気軽にご相談ください。
入れ歯やブリッジとの違いは何ですか?
入れ歯は取り外し式で違和感が出やすく、ブリッジは両隣の健康な歯を削る必要があります。一方、インプラントは人工歯根を顎の骨に埋入するため、しっかり噛めて自然な見た目が得られ、周囲の歯にも負担をかけません。長期的に見ても、耐久性や快適性、QOLの向上といった点で、多くの患者さまに選ばれています。
医療費控除の対象になりますか?
はい、条件を満たせば医療費控除の対象になります。インプラントは「機能回復を目的とした治療」であれば控除の対象となり、確定申告を行うことで所得税や住民税の軽減につながる可能性があります。治療費だけでなく、通院時の交通費(公共交通機関)も含めて申告できます。ナオキ歯科 名古屋栄クリニックでは、申告に必要な領収書の発行や明細整理にも対応していますので、ご不明点はお気軽にご相談ください。